Frenilectomía Lingual: Reporte de un caso
Lingual Frenectomy: Case Report

Resumen

El frenillo lingual es una banda fibrosa que une la lengua con el suelo de la boca o con el proceso alveolar. Cuando esta no degenera la lengua no se separa del piso de la boca, dando lugar a una patología conocida como anquiloglosia en la cual la membrana debajo de la lengua es muy corta o se inserta muy próxima a la punta de la lengua, dificultando su protrusión. Esto provoca alteraciones anatómicas-funcionales en la boca, en el lenguaje, autolimpieza y en la lactancia en recién nacidos. Se presenta un paciente masculino de 8 años a la Clínica de Ortodoncia del Área Académica de Odontología de la UAEH refiriendo su mamá que sus dientes no estaban en posición adecuada y además tenía dificultades para hablar. Es revisado y remitido a la clínica de cirugía bucal de dicha institución para valoración, diagnóstico y tratamiento de frenillo lingual. Se le diagnosticó una anquiloglosia, proponiendo el tratamiento quirúrgico de frenilectomía y genioplastía. Se utilizó la técnica de frenilectomía clásica convencional bajo anestesia local. Esta técnica fue segura, efectiva y se logró la meta del tratamiento quirúrgico.


Palabras clave: frenillo, lengua, anquiloglosia

Abstract

The lingual frenulum is a fibrous band that connects the tongue to the floor of the mouth or the alveolar process. When this fibrous band not degenerates, the tongue is not separated from the floor of the mouth, leading to a condition known as ankyloglossia in which the membrane under the tongue is too short or can be inserted very next to the tip of the tongue, hindering its protrusion. This can cause anatomical-functional alterations in other structures of the mouth, alterations on the language, self-cleaning function and difficulty by the breastfeeding in infants. An 8 years old male patient went to the Orthodontic Clinic of the Academic Area of Dentistry, UAEH. His mother referred that he had troubles to talk. He was reviewed and referred to the clinic of oral surgery of this institution for assessment, diagnosis and treatment of the lingual frenulum. An ankyloglossia was diagnosed and was proposed the frenectomy and genioplasty surgical treatments using the conventional technique with local anesthetic. The proposed technique was safe, effective and the goal of the surgery was achieved.


Keywords: bridle, tongue, ankiloglossia

Introducción

La lengua es un poderoso órgano muscular tapizado por mucosa, que fisiológicamente, por sus movimientos, favorece la trituración de los alimentos realizada por los órganos dentarios durante la masticación, la formación del bolo alimenticio, deglución y la fonoarticulación. La función especial es  la percepción gustativa, al recibir estímulos de los distintos tipos de sabores. (Gómez de Ferrari & Campos, 2009; Damiani, 2014)

La lengua aparece en el embrión de 4 semanas de gestación aproximadamente, formada por el  primer, segundo, tercer y parte del cuarto arco faríngeo, la inervación sensitiva de sus dos tercios anteriores o cuerpo de la lengua le corresponde a la rama mandibular del trigémino y el tercio posterior está inervado por el glosofaríngeo, la inervación motora está dada por el hipogloso. (Sadler, 2005)

El frenillo lingual,  es una banda fibrosa que une la lengua con el suelo de la boca o con el proceso alveolar, este se convierte  en un elemento patológico con frecuencia. Se inicia en la cara inferior de la lengua en las proximidades de su extremo apical, recorre el tercio anterior de ésta y se vuelve hacia adelante, insertándose en la línea media de la mucosa del suelo de la boca; el extremo anterior de este  frenillo  se asienta en la cara lingual de la mandíbula entre los incisivos centrales. Es importante recordar que además de las estructuras musculares existentes en la zona (músculo geniogloso y genihiodeo), el frenillo lingual se relaciona con el conducto de Wharton de la glándula submandibular, su carúncula de salida, y con el conducto de Rivini de la glándula sublingual. (Ribelles, Saez & Bellet, 2007)

En condiciones normales se produce una apreciable degeneración celular y el único tejido remanente es el frenillo que  fija la lengua al piso de boca, pero hay casos en los que esto no ocurre y la lengua no se separa del piso de la boca, dando lugar a una patología conocida como anquiloglosia o lengua frenada. (Sadler, 2005)

Es importante mencionar que este término fue usado por  primera vez en la literatura médica en la década de 1960, cuando Wallace definió frenillo corto como "una condición en la que la punta de la lengua no puede sobresalir más allá de los incisivos inferiores”. (Chaubal & Baburaj, 2011)

La anquiloglosia es una anormalidad congénita relativamente común del frenillo lingual en la cual la membrana debajo de la lengua es muy corta o puede estar insertada muy próxima a la punta de la lengua, dificultando su protrusión. El frenillo lingual con inserción corta, altera la fisiología mecánica de la lengua, pudiendo provocar alteraciones anatómicas-funcionales en otras estructuras de la boca, consecuencias negativas en el lenguaje, en la función de autolimpieza, dificultades para la lactancia en recién nacidos, problemas en el desarrollo normal de la mandíbula en los casos más severos y  ausencia de proyección de la lengua tomando la punta un aspecto bífido o forma acorazonada. (Nahas, Abanto, Nahas & Azevedo, 2009). Su prevalencia es de alrededor de 4,4% a 4,8% en los recién nacidos, con una razón hombre-mujer de 3:1. (Azevedo et al ., 2014)

El tratamiento puede ser conservador con ejercicios para elongar el frenillo lingual y terapia miofuncional (casos leves) o corrección quirúrgica a través de cualquiera de las siguientes técnicas:

  • Frenectomía clásica convencional.
  • Técnica de Miller.
  • Plastía V-Y.
  • Z Plastía.
  • Frenectomía usando electrocauterio. (Ribelles, Saez  & Bellet, 2007; Devishree & Shubhashini, 2012)

Es muy importante realizar el diagnóstico de la anquiloglosia a temprana edad debido a que el paciente puede ser sometido a estas terapias mejorando notablemente su estilo y calidad de vida. Durante el proceso de aprendizaje del habla es conveniente que este problema haya sido detectado y tratado (en caso de requerirse una intervención quirúrgica) porque posteriomente disminuyen los resultados de las terapias con logopedas y psicólogos pudiendo presentar el paciente un rechazo a su vida social por sentirse diferente a los demás.

Reporte de caso clínico

Se trata de un paciente masculino de 8 años y 6 meses de 24 kg, estudiante de tercer grado de primaria que acude a la Clínica de Ortodoncia del Área Académica de Odontología de la Universidad Autónoma del Estado de Hidalgo, México, para recibir tratamiento de ortodoncia interceptiva. Su mamá refiere que el padecimiento actual inició a los 3 años de edad cuando comenzó a hablar, no se comunicaba igual que otros niños, teniendo problemas para pronunciar la letra “R”, acortaba palabras y la lengua no se movía libremente. Es revisado y remitido a la clínica de cirugía bucal de dicha institución para valoración, diagnóstico y  tratamiento de frenillo lingual.

En las historias médica y dental no se encontraron datos relevantes que pudieran interferir en su tratamiento. Clínicamente no lograba tocar el paladar con su lengua y al levantarla adquiría la forma de corazón. Se realizaron pruebas de pronunciación de palabras corroborando lo que había expuesto su mamá. Teniendo en cuenta esto y la interconsulta con el ortodoncista se determinó el diagnóstico de anquiloglosia, proponiendo el tratamiento quirúrgico de frenilectomía y genioplastía para corregir dicha patología. Una vez explicado el procedimiento a los padres del paciente, de manera verbal y escrita a través del consentimiento informado, se programó la fecha quirúrgica.

Material e instrumental utilizado.

 

Gorro, cubreboca, guantes estériles, protección ocular, batas estériles y gasas estériles. Abrebocas Mc Kesson
Campo hendido, campo estéril para mesa y pinzas de campo. Mango de bisturí No. 3 y hoja de bisturí No. 15.
Tubo látex para aspiración y cánula frazier 12 de aspiración. Tijeras Goldman-Fox, tijeras iris recta, pinzas de mosco rectas y curvas.
Jeringa carpule, aguja 30 corta, cartuchos de anestesia lidocaína con epinefrina de 1: 100 000 al 2 % y separadores de Minessota. Solución fisiológica y jeringa desechables de 20cc.
Pinzas addson con dientes, sin dientes, portaagujas tipo mayo-Hegar, sutura vicryl 3-0.

Procedimiento quirúrgico

  • Se realiza  asepsia y antisepsia.
  • Se colocó anestesia tópica y se infiltró localmente (lidocaína con epinefrina de 1: 100 000 al 2 %) a cada lado del frenillo lingual bloqueando nervio lingual bilateralmente. (Figuras 1 y 2).

Figura 1. Anestesia Local a cada lado del frenillo.

Figura 2. Anestesia Local del nervio lingual bilateralmente

  • Se pasa una sutura sin anudar en la punta de la lengua para traccionar la misma y facilitar las maniobras quirúrgicas. Posteriormente se utilizan dos pinzas de mosco, una curva y una recta pinzando el frenillo en su borde superior e inferior para limitar sus bordes. Figuras 3 y 4.

Figura 3. Sutura sin anudar en punta de la lengua

Figura 4. Pinzado del frenillo

  • Se realizó una incisión horizontal en la parte media del frenillo con hoja de bisturí No. 15 y mango No. 3, posteriormente se comenzó a cortar el frenillo de arriba abajo cuidando la anatomía de la región y la zona de las carúnculas sublinguales de los conductos de Wharton y Rivini. (Figuras 5 y 6).

Figuras 5 y 6. Incisión y corte del frenillo.

  • Se eliminó el frenillo en su totalidad  con la ayuda de tijeras iris recta y hoja de bisturí del No. 15 así como todo el tejido residual fibroso correspondiente al frenillo. Se realizó genioplastia con pinza de mosco y disección roma para liberar adecuadamente la inserción frénica hasta la cara lingual de los incisivos inferiores. (Figuras  7, 8 y 9)

Figuras 7 y 8. Eliminación total del frenillo y genioplastia

Figura 9. Resultado obtenido después de genioplastia

  • Se realizó prueba para ratificar la proyección lingual la cual fue exitosa (Figura 10). 

Figura 10. Prueba exitosa de tracción lingual

  • Se irrigó bien la zona operatoria con solución fisiológica, se secó con gasa estéril, se revisó la hemostasia encontrándose en condiciones normales y se realizaron puntos simples de sutura utilizando Vicryl 3-0. Se terminó el acto quirúrgico sin accidentes ni incidentes. Figuras 11 y 12.

Figuras 11 y 12. Sutura y terminado del acto quirúrgico.

  • Se entregaron indicaciones postoperatorias de manera verbal y escrita a los padres del paciente. La farmacoterapia utilizada fue Amoxil (Amoxicilina) en suspensión de 250mg en 5ml (8 ml cada 8 horas por 08 días) y  Motrin (Ibuprofeno) en suspensión de 100mg en 5ml, (12 ml cada 8 horas por 3 días).Se citó en 8 días para retiro de sutura, revisión y evaluar alta.

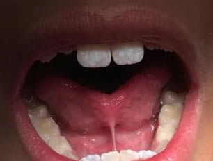
ANTES

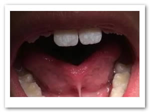
DESPUES

Discusión

La anquiloglosia es una patología congénita bucal que debe ser diagnosticada y remitida para su tratamiento temprano. Esta es asintomática y es detectada por la exploración del movimiento lingual. El manejo quirúrgico proporciona beneficios para la posterior terapia del lenguaje y para el desarrollo normal de las estructuras orales, principalmente de la mandíbula. (Chaubal & Baburaj, 2011) Existen muchas técnicas para realizar este procedimiento pero se debe elegir la más adecuada para el manejo de cada caso en particular. (Azevedo et al ., 2014) En el presente caso se realizó la escisión  quirúrgica del frenillo para permitirle una correcta movilidad a la lengua y una genioplastía para evitar la reinserción de las fibras del frenillo. Se empleó una técnica convencional con anestesia local la cual fue bien tolerada por el paciente debido a la corta duración de la cirugía. Los resultados obtenidos fueron muy satisfactorios y el paciente fue remitido a la clínica de ortodoncia de dicha institución; también se les dieron indicaciones a los padres para que lo llevaran con un logopeda y con un psicólogo para sus respectivas terapias.

Conclusiones

Existen varias técnicas quirúrgicas para tratar la anquiloglosia, la edad ideal para realizar el tratamiento es en el período de lactancia del bebé o al inicio de la edad escolar concomitante con el aprendizaje del idioma; apegado a esto podemos evitar alteraciones en la fonación, deglución, anomalías de posición dental y problemas en el desarrollo y crecimiento de los maxilares. La técnica propuesta fue segura, efectiva y se logró la meta del tratamiento quirúrgico. El paciente se mostró satisfecho y podía mover la lengua libremente dejándolo listo para su segunda fase de tratamiento con ortodoncia interceptiva.

Bibliografía

Azevedo, M., Oliveira, M.N., Costa e Silva, L.L., Borges, L.,Silveira, A.B. & Thiemy, V. (2014). Surgical techniques for the treatment of ankyloglossia in children: a case series. Journal of Applied Oral Science, 22 (3), 48-241

Chaubal, T. & Baburaj, M. (2011). Ankyloglossia and its management. Journal of Indian Society of Periodontology , 15 (3), 72-270

Damiani, P. M. (2014). Influencia de la anquiloglosia en el desarrollo transversal de los maxilares. [Tesis doctoral inédita]  Recuperado de Repositorio digital UNC: http://hdl.handle.net/11086/1447

Devishree, S. & Shubhashini, P.V (2012). Frenectomy: A Review with the Reports of Surgical Techniques. Journal of Clinical and Diagnostic Research, 6 (9), 92-1587

Gómez de Ferraris, M.E &Campos, A. (2009). Cavidad Bucal. En Gómez de Ferraris, M.E & Campos, A. (3a Ed)., Histología, Embriología e Ingeniería Tisular Bucodental, pp. 137-75. México: Médica Panamericana.

Nahas, M.S., Abanto, J., Nahas, F., Azevedo, G. (2009). Anquiloglosia: ¿Cuándo intervenir? Revisión y reporte de caso. Acta Odontológica Venezolana, 47 (3). Recuperado de http://saber.ucv.ve/ojs/index.php/rev_aov/article/view/393/357

Ribelles,  M., Saez,. S., Bellet, L.J. (2007). Frenectomía lingual: A propósito de un caso.Rev Oper Dent Endod, 5 (72).  Recuperado de http://www.infomed.es/rode/index.php?option=com_content&task=view&id=155&Itemid=1

Sadler, T. (2005). Cabeza y cuello. En Sadler, T (octava edición)., Langman Embriología Médica con orientación clínica, pp. 334-69. México: Médica Panamericana .


[a] Estudiante del noveno semestre del Área Académica de Odontología.

[b] Profesor por asignatura del Área Académica de Odontología.

[c] Profesora de tiempo completo del Área Académica de Odontología.

 

Correo de correspondencia: chavianojulio@hotmail.com